Sau khi khỏi COVID-19: Phục hồi tình trạng sức khỏe người bệnh như thế nào?
Đại dịch SARS-CoV-2 bệnh COVID-19 đã gây ra những ảnh hưởng nghiêm trọng trên toàn thế giới, với hàng chục triệu người mắc bệnh, số lượng tử vong làm mọi người hoảng sợ. Khoảng 80% bệnh nhân ở mức độ nhẹ đến trung bình, 15% bệnh nặng và 5% bệnh nguy kịch. Số liệu này được thực hiện trên cơ sở nghiên cứu dữ liệu Hồ sơ Chăm sóc Sức khỏe Tích hợp Tự động ở những bệnh nhân đang hồi phục sau COVID-19 với xét nghiệm RT-PCR âm tính đối với SARS-CoV-2, được tiếp nhận liên tục để phục hồi chức năng cho bệnh nhân nội trú năm 2020, tại ICS Maugeri các bệnh viện ở Italia (Bari, Lumezzane, Tradate, Pavia, và Veruno).
Thế giới họ làm gì, điều trị và phục hồi ra sao cho bệnh nhân Covid-19? Thưa Quý vị quả thật là chặng đường này mỗi người mỗi khác, người nặng, người nhẹ, người có các bệnh nền khác nhau cũng đưa đến hậu quả khác nhau. Trên cơ sở nghiên cứu, theo dõi các bài báo quốc tế chúng tôi cố gắng để giúp quý vị hình dung được chặng đường phục hồi cho người bệnh sau Covid-19 ở nhiều nơi trên thế giới.
Trong y học để điều trị được bệnh thì chúng ta phải hiểu được nguyên nhân do vậy chúng tôi muốn trình bày đến quý vị những tình trạng bệnh phổ biến mà bệnh nhân covid-19 phải trải qua từ đó quý vị sẽ hiểu được tại sao bác sĩ phục hồi chức năng lại muốn quý vị giúp người thân hay chính bản thân mình phục hồi các chức năng này. Bệnh nhân COVID-19 cần được phục hồi chúng tôi đề cập tới tại đây là những người đã mắc Covid-19, đã điều trị và âm tính với SARS-CoV-2, ra viện. Trong video này chúng tôi đề cập tới:
1. Những gì bệnh nhân Covid-19 phải trải qua
2. Tình trạng cơ thể của bệnh nhân COVID - 19 sau khỏi bệnh
3. Phục hồi chức năng phổi
4. Tình trạng dinh dưỡng của bệnh nhân Covid-9 trong giai đoạn phục hồi
5. Các vấn đề tâm lý, tinh thần ở người bệnh hậu Covid

Tình trạng cơ thể của bệnh nhân COVID - 19 phục hồi sau khỏi bệnh
1. Những gì bệnh nhân Covid-19 phải trải qua
Một số bệnh nhân Covid-19 đã từng trải qua các tổn thương nghiêm trọng do Sars-CoV-2 gây ra, ảnh hưởng đến hầu hết các cơ quan như: tim, phổi, thận, da, não….hoặc hệ miễn dịch trong một thời gian dài với các triệu chứng kéo dài nhiều tuần hoặc nhiều tháng sau khi khỏi bệnh.
Một số người, chủ yếu là trẻ em, gặp phải hội chứng viêm đa hệ thống (MIS) trong hoặc ngay sau khi nhiễm COVID-19. MIS là tình trạng khi đó các bộ phận khác nhau của cơ thể có thể bị viêm. MIS có thể dẫn đến các tình trạng tiếp tục gặp phải nhiều ảnh hưởng đến đa cơ quan hoặc các triệu chứng khác nhau sau khi mắc COVID-19.
Các triệu chứng giống nhau ở đa số bệnh nhân Covid-19 kéo dài hơn vài tuần sau khi khỏi bệnh bao gồm:
● Cảm thấy rất mệt mỏi (mệt mỏi)
● Khó thở
● Khó chịu ở ngực
● Ho
3 giai đoạn của bệnh COVID-19:
- "COVID-19 cấp tính" - Điều này đề cập đến các triệu chứng kéo dài đến 4 tuần sau khi một người bị nhiễm bệnh. Hầu hết những người bị COVID-19 nhẹ không có các triệu chứng sau giai đoạn này, nhưng một số thì có.
- "COVID-19 có triệu chứng đang diễn ra" - Điều này đề cập đến các triệu chứng tiếp tục trong 4 đến 12 tuần sau khi bị nhiễm bệnh. Những người bị bệnh nặng trong giai đoạn cấp tính thường có các triệu chứng liên tục.
- "Sau COVID-19" - Điều này đề cập đến các triệu chứng tiếp tục sau 12 tuần sau khi bị nhiễm bệnh. Điều này phổ biến hơn ở những người bị bệnh nặng, có nghĩa là họ cần phải ở trong phòng chăm sóc đặc biệt ("ICU"), được đặt máy thở hoặc có các loại hỗ trợ thở khác.
Mắc các bệnh lý nghiêm trọng liên quan đến phổi có thể gây ra những ảnh hưởng đến sức khỏe như suy nhược nghiêm trọng, kiệt sức trong thời gian hồi phục.
Ảnh hưởng của việc nhập viện cũng có thể gặp với hội chứng hậu săn sóc đặc biệt (PICS), mà diến biến đáng sợ là Hội chứng sau chăm sóc đặc biệt (PICS) đề cập đến một bệnh nhân mới mắc hoặc bị trầm trọng hơn với tình trạng suy giảm thể chất, nhận thức hoặc tinh thần bị tổn thương sau khi bị mắc một bệnh hiểm nghèo hoặc sau khi được chăm sóc đặc biệt. Tình trạng suy giảm này tiếp tục kéo dài sau sau thời gian nằm điều trị tại đơn vị Hồi sức tích cực (ICU) trong khoảng thời gian từ 5 đến 15 năm. Các yếu tố nguy cơ chính đối với sự hình thành PICS là hội chứng suy hô hấp cấp tính (ARDS), nhiễm trùng huyết, hôn mê, thở máy kéo dài và suy đa phủ tạng.
- Các vấn đề về rối loạn căng thẳng sau sang chấn tâm lý (PTSD)….
Đó là nhưng gì bệnh nhân Covid-19 trung bình hoặc nặng gặp phải. Hiểu được điều này sẽ giúp cho nhân viên y tế, người thân khi hỗ trợ phục hổi chức năng cho người bệnh “nhắm trúng đích”. Nhắm trúng đích là thế nào là phổi bị tổn thương thì chúng ta phải tập luyện cho chúng cụ thể
- Tình trạng gia tăng đáp ứng miễn dịch muộn
Tình trạng gia tăng đáp ứng miễn dịch muộn là tình trạng hệ miễn dịch gia tăng hoạt động theo hướng gây các bệnh lý dị ứng - tự miễn trên những người có cơ địa bệnh tự miễn.
Khi mắc Covid-19, hệ miễn dịch của người bệnh tấn công các tế bào khỏe mạnh trong cơ thể của chính họ do nhầm lẫn, gây viêm (sưng đau), tổn thương. Do đó khi khỏi bệnh hệ miễn dịch vẫn tiếp tục gia tăng hoạt động theo hướng tiêu cực gây các bệnh lý dị ứng - tự miễn trên những người có cơ địa bệnh tự miễn. Điều này cũng tương tự như các bệnh lý thấp tim, thấp khớp, Kawasaki, xuất huyết giảm tiểu cầu, viêm cầu thận cấp… xảy ra sau một đợt viêm họng do vi trùng hay nhiễm virus.
Vì vậy, ngay cả khi test COVID-19 đã âm tính, một tỷ lệ nhỏ bệnh nhân vẫn xuất hiện yếu tố nguy cơ và vẫn phải tiếp tục được can thiệp y khoa. Các triệu chứng cần theo dõi như: Khó thở, đau ngực, phát ban, tiểu ít… và gọi cho nhân viên y tế hay bác sĩ điều trị nếu cảm thấy triệu chứng đó bất thường.

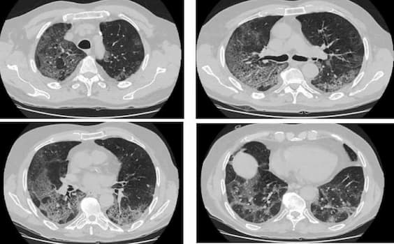
Hình ảnh xơ phổi ở bệnh nhân COVID-19.
Hình thành sẹo xơ vi thể ở nhu mô phổi
- Tình trạng xơ phổi
Khi xuất hiện tổn thương phổi do Sar-CoV-2, nhu mô phổi tổn thương sẽ là yếu tố thuận lợi cho viêm phổi bội nhiễm. Ở các bệnh nhân có viêm phổi lan tỏa trước đó, màng phế nang - mao mạch sau giai đoạn viêm sẽ lành dần, dịch viêm rút đi, các xác hồng cầu hay xác tế bào được dọn dẹp và các sẹo xơ li ti được hình thành.
Có thể hình dung quá trình này giống như một vết xước da nặng khi bị chà xát trên mặt đường, vết thương sẽ lành dần, lên da non và để lại một vết sẹo, khác biệt chỉ là các vết sẹo trong phổi thường rất nhỏ, chỉ nhìn thấy qua kính hiển vi, nên được gọi là tình trạng xơ hóa vi thể.
Các vết sẹo xơ li ti trong phổi nếu ít thì không ảnh hưởng, vùng phổi lành có thể bù được chức năng hô hấp, nhưng nếu sẹo xơ dày đặc hoặc các phế nang bị bít tắc nhiều, thì sẽ có thể làm phổi giảm co giãn khi hô hấp sau này.
Ai sẽ gặp tình trạng này?
Ai sẽ có sẹo xơ, nhiều hay ít, sẹo kiểu nào… thì còn tùy cơ địa, tùy vào tổn thương phổi nặng hay nhẹ, lứa tuổi, bệnh nền, tình trạng dinh dưỡng… Vì rất khó để biết ai sẽ xơ nặng ai sẽ xơ nhẹ. Vậy nên, tập thở trong giai đoạn phục hồi là một phần quan trọng ở tất cả bệnh nhân COVID-19.
Suy kiệt khối cơ và giảm hết các kho dự trữ dưỡng chất trong cơ thể
Bao gồm suy giảm khối cơ và giảm các chất dinh dưỡng do sử dụng triệt để trong quá trình chống lại bệnh Covid-19.
Khối cơ, bao gồm cơ bắp và các tế bào của các cơ quan, bị teo nhỏ, bị mất các sợi cơ, bị tổn thương hay hư hỏng các tế bào… xảy ra ở hầu hết các hệ cơ quan của bệnh nhân sau đợt bệnh, như hệ tiêu hóa gan mật, hệ hô hấp đến tuần hoàn... Có bệnh nhân sụt cả chục kilogam cân nặng sau đợt bệnh.
Số cân nặng mất đi chủ yếu do giảm khối lượng cơ, vì sinh lý trong giai đoạn bệnh là cơ thể sẽ ưu tiên dùng chất đạm nhiều hơn chất béo cho các hoạt động chuyển hóa của mình.
Kho các chất dinh dưỡng dự trữ vơi lượng ít như vitamin nhóm B, C thường cạn kiệt; các chất dinh dưỡng dự trữ nhiều hơn như vitamin A, D (dự trữ trong gan), chất khoáng (dự trữ trong xương) cũng bị hao hụt rất nhiều.
Dinh dưỡng trong giai đoạn phục hồi chính là phần quan trọng để phục hồi khối cơ, sửa chữa các hư hỏng của tế bào ở các cơ quan, khôi phục các kho dự trữ dưỡng chất trong cơ thể.
Các vấn đề về tâm lý và tinh thần
Tổn thương tâm lý và tinh thần ở bệnh nhân COVID-19 thường rất nghiêm trọng. Nghiêm trọng đến mức độ nào chắc quý vị sẽ hỏi như vậy?
Tâm lý và tinh thần chưa bao giờ là chuyển nhỏ phải không quý vị. Rất nhiều điều chúng ta có thể vượt qua với một tinh thần lạc quan, một quyết tâm mạnh mẽ. Với bệnh Covid-19 cũng vậy. Covid-19 làm ảnh hưởng đến hầu hết các cơ quan. Các tình trạng tự miễn xảy ra khiến hệ miễn dịch của ta tấn công các tế bào khỏe mạnh trong chính cơ thể chúng ta do nhầm lẫn, gây ra hàng loạt các tổn thương. Một khi cơ thể quá mệt mỏi mà bệnh nhân buông trong lúc nguy nan này thì theo quý vị điều gì sẽ xảy ra?
Sự tổn thương tâm lý, tinh thần của người bệnh, nhất là những bệnh nhân nặng thường rất nghiêm trọng. Rất nhiều nỗi sợ như nỗi sợ xa gia đình, sợ sự cô đơn, sợ bị bỏ rơi đơn độc, nỗi sợ về cái chết, nỗi sợ phải ra đi một mình…. ám ảnh, về những cơn khó thở, những âm thanh trong bệnh viện, những âm thanh cấp cứu, những tiếng gọi lôi họ trở về sau những lúc nguy cấp….v.v thường không thể mất đi trong thời gian đầu tiên, cộng thêm với nỗi lo lắng về khả năng tái phát, tái nhiễm, di chứng… Tình trạng này thường góp phần làm cho cuộc sống của bệnh nhân tệ hơn ngay cả khi các tổn thương thực thể không nghiêm trọng quá mức. Nó khiến người bệnh mất ngủ, căng thẳng.
Sẽ chẳng có ai giống ai trong cuộc hành trình quay trở lại với cuộc sống bình thường này, vì mỗi người có một sức khỏe nền khác nhau, trải qua tình trạng bệnh khác nhau, thiệt hại cơ thể trong lúc chống lại bệnh cũng khác nhau…Dù vậy, việc chăm sóc trong giai đoạn phục hồi càng tích cực, “nhắm trúng đích” bao nhiêu thì hậu quả của căn bệnh (nếu có) càng được giảm nhẹ bấy nhiêu hoặc có khi hoàn toàn không để lại chút di chứng nào.
Các triệu chứng COVID-19 dai dẳng được điều trị như thế nào?
Nói chung, điều trị liên quan đến việc giải quyết bất kỳ triệu chứng nào bạn có. Thường thì điều đó có nghĩa là kết hợp một vài phương pháp điều trị khác nhau.
Nếu cảm thấy mệt mỏi, hãy cố gắng nghỉ ngơi nhiều. Quí vị cũng có thể thử những cách sau để đỡ mệt mỏi:
- Lên kế hoạch thực hiện những công việc quan trọng khi quí vị mong muốn có nhiều năng lượng nhất, thường là vào buổi sáng
- Vận động bản thân để không làm quá nhiều cùng một lúc và nghỉ giải lao trong ngày nếu quí vị cảm thấy mệt mỏi
- Hãy nghĩ về những nhiệm vụ và hoạt động nào là quan trọng nhất mỗi ngày, để quí vị không sử dụng nhiều năng lượng hơn mức cần thiết
Nếu quí vị không ngủ ngon, cải thiện "giấc ngủ" sẽ có thể hữu ích. Điều này liên quan đến những việc như đi ngủ và thức dậy vào cùng một thời điểm mỗi ngày, tránh caffeine và rượu vào cuối ngày và không nhìn vào màn hình trước khi ngủ.
Tùy thuộc vào tình huống của bạn, quí vị cũng có thể cần:
- Thuốc để giảm các triệu chứng như ho hoặc đau
- Phục hồi chức năng tim - Điều này liên quan đến việc cải thiện sức khỏe tim của bạn thông qua những thứ như tập thể dục, thay đổi chế độ ăn uống và bỏ hút thuốc (nếu bạn hút thuốc).
- Phục hồi chức năng phổi - Điều này bao gồm các bài tập thở để giúp tăng cường phổi.
- Liệu pháp vật lý và nghề nghiệp - Điều này liên quan đến việc học các bài tập, chuyển động và cách thực hiện các công việc hàng ngày.
- Điều trị lo âu hoặc trầm cảm - Điều này có thể liên quan đến thuốc và / hoặc tư vấn.
- Các bài tập và chiến lược giúp ghi nhớ và tập trung
Có cách nào để tránh các triệu chứng COVID-19 dai dẳng không?
Cách duy nhất để tránh điều này chắc chắn là tránh nhiễm COVID-19. Đúng là hầu hết những người bị nhiễm sẽ không bị bệnh nặng. Nhưng không thể biết ai sẽ hồi phục nhanh chóng và ai sẽ có các triệu chứng dai dẳng.
Cách tốt nhất để ngăn ngừa COVID-19 là tiêm vắc xin. Ngoài việc bảo vệ bản thân, việc chủng ngừa cũng sẽ giúp bảo vệ những người khác, kể cả những người có nguy cơ mắc bệnh nặng hoặc tử vong cao hơn. Những người không được tiêm chủng có thể giảm nguy cơ mắc bệnh bằng cách giãn cách xã hội, đeo khẩu trang nơi công cộng và rửa tay thường xuyên.
Sẽ chẳng có ai giống ai trong cuộc hành trình quay trở lại với cuộc sống bình thường này, vì mỗi người có một sức khỏe nền khác nhau, trải qua tình trạng bệnh khác nhau, thiệt hại cơ thể trong lúc chống lại bệnh cũng khác nhau…Dù vậy, việc chăm sóc trong giai đoạn phục hồi càng tích cực, “nhắm trúng đích” bao nhiêu thì hậu quả của căn bệnh (nếu có) càng được giảm nhẹ bấy nhiêu hoặc có khi hoàn toàn không để lại chút di chứng nào.
Suckhoecuocsong.vn
Các tin khác
-
Top 8 thực phẩm màu tím giúp dưỡng thận, tăng cường sức khỏe
Khi cơ thể cảm thấy mệt mỏi, thiếu năng lượng, da khô, ngứa ngáy, đau lưng, hơi thở có mùi,….đây có thể là dấu hiệu cảnh báo thận đang cần được chăm sóc. -
Gan nhiễm mỡ: Những ai có nguy cơ mắc phải
Những người thuộc nhóm đối tượng dưới đây có nguy cơ cao bị gan nhiễm mỡ nên cẩn trọng. -
Viêm gan gây nguy hiểm cho sức khỏe như nào?
Bệnh viêm gan nếu không điều trị đúng cách, áp dụng chế độ ăn lành mạnh sẽ gây nhiều hệ lụy nguy hiểm cho sức khỏe. -
Chế độ dinh dưỡng cho người bị viêm gan trong ngày Tết
Phòng ngừa bệnh viêm gan tiến triển trong những ngày lễ Tết người mắc bệnh nên có chế độ dinh dưỡng hợp lý, khoa học như sau. -
Các bài tập tốt cho người viêm gan, cải thiện chức năng gan
Tăng cường sức khỏe gan, giúp gan khỏe mạnh, có lợi cho sức khỏe tổng thể người bị viêm gan hãy tích cực tập luyện các bài tập thể thao dưới đây. -
Những điều cần lưu ý trong chế độ ăn của người bị viêm gan
Chế độ dinh dưỡng lành mạnh, đầy đủ dinh dưỡng sẽ giúp bảo vệ gan, ngăn ngừa tổn thương gan do viêm gan, phòng ngừa các biến chứng nguy hiểm. -
Những loại trà tốt cho người bị viêm gan
Người bị viêm gan nên uống các loại trà thảo mộc dưới đây sẽ giúp hỗ trợ quá trình phục hồi gan, tăng cường chức năng gan, giảm những biến chứng trên mô gan. -
Viêm gan nên tránh uống loại đồ uống nào?
Người bị viêm gan nên tránh uống các loại đồ uống dưới đây để bảo vệ gan, giảm thiểu các tác động tiêu cực tới gan, tăng cường sức khỏe. -
Đồ uống có lợi cho người bị viêm gan
Để tăng cường sức khỏe gan, bảo vệ gan những người bị viêm gan hãy uống những loại đồ uống bổ dưới dưới đây. -
Những thực phẩm người bị viêm gan nên tránh ăn
Người bị viêm gan nên tránh xa những thực phẩm dưới đây để bảo vệ gan, ngăn ngừa những tổn thương do viêm gan gây nên.
